ฟันซ้อนคืออะไร ถอนได้ไหม แนะนำวิธีแก้ฟันซ้อนที่ทำแล้วได้ผลดีที่สุด
ฟันซ้อน ปัญหาเกี่ยวกับฟันที่หลาย ๆ คนอาจมองข้าม เพราะคิดว่าฟันซ้อนไม่ใช่เรื่องใหญ่จนถึงขั้นที่ต้องเข้ารับการรักษา แต่จริง ๆ แล้วการมีปัญหาฟันซ้อนในระยะยาวสามารถส่งผลกระทบต่อสุขภาพภายในช่องปากได้มากกว่าที่คุณคิด โดยเฉพาะในบุคคลที่มีฟันซ้อนที่ค่อนข้างรุนแรง แล้วปัญหาอะไรบ้าง ที่สามารถเกิดขึ้นได้จากการมีฟันซ้อน
ในบทความนี้คุณหมอจากคลินิกทันตกรรม Smile Seasons จะพาคุณมาเจาะลึกถึง “ฟันซ้อน” ว่าสาเหตุเกิดจากอะไร แล้วมีผลกระทบอย่างไร พร้อมคำแนะนำจากคุณหมอ เรามาดูกันเลย
ฟันซ้อน คืออะไร อาการเป็นอย่างไร
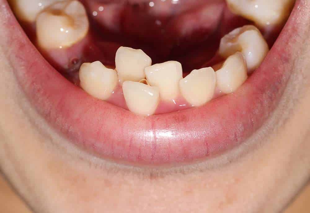
ฟันซ้อน คือ สภาพของฟันที่งอกขึ้นจากเหงือกแบบเรียงตัวซ้อนกัน ไม่เรียงตัวกันตามแนวฟันที่ควรจะเป็น สามารถเกิดขึ้นได้ตามแนวขากรรไกรทั้งหมด ซึ่งการเกิดฟันซ้อนจะทำให้ฟันที่งอกขึ้นมาเกิดการเบียดตัวกัน จนเกิดเป็นฟันเก โดยในบางคนที่มีฟันซ้อนที่อาการค่อนข้างรุนแรง ซึ่งอาจส่งผลให้เกิดฟันล้มได้ในที่สุด
ฟันซ้อนเกิดจากอะไร
ฟันซ้อน เกิดขึ้นได้จากหลาย ๆ ปัจจัยทั้งในวัยเด็กและในวัยผู้ใหญ่ โดยปัจจัยหลักที่พบได้บ่อย มีดังนี้
กรรมพันธุ์
หากบุคคลในครอบครัวมีประวัติการมีฟันซ้อน รวมไปถึงการมีขากรรไกรที่เล็กซึ่งไม่สัมพันธ์กับจำนวนของฟัน ก็สามารถส่งต่อผ่านทางกรรมพันธุ์มาสู่รุ่นลูก รุ่นหลานได้ เช่นกัน
ขนาดของฟัน
บางคนอาจมีขนาดของฟันที่ค่อนข้างใหญ่ แต่ขากรรไกรมีขนาดเล็ก ทำให้พื้นที่ของเหงือกไม่เพียงพอต่อจำนวนของฟันที่ขึ้น ทำให้ฟันเกิดการเบียดตัวกันขึ้นจนเกิดการซ้อนของฟันได้เช่นกัน
การถอนฟัน
การถอนฟัน หรือ การหลุดตัวของฟันน้ำนมที่เร็วกว่ากำหนด อาจทำให้ฟันแท้ขึ้นผิดตำแหน่งจนเกิดเป็นฟันซ้อนได้
พฤติกรรมการใช้ชีวิตและการรับประทานอาหาร
พฤติกรรมการใช้ชีวิตในวัยเด็ก เช่น การดูดนิ้ว การดูดขวดนม หรือการดูดจุกนมที่มีระยะเวลานานจนเกินไป โดยเฉพาะในวัยที่ฟันแท้เริ่มขึ้นแล้ว อาจทำให้มีแรงกดตามบริเวณเหงือกและฟันมากจนเกินไป ทำให้บริเวณกรามเจริญเติบโตผิดรูป จึงส่งผลให้ฟันขึ้นผิดตำแหน่ง และเกิดฟันซ้อนได้ หรือในวัยผู้ใหญ่ที่มีพฤติกรรมการรับประทานบางอย่าง เช่น การกัดของแข็งเป็นประจำ ทั้งนี้มีส่วนส่งผลให้เกิดฟันซ้อนได้เช่นกัน
ผลกระทบของการเกิดฟันซ้อน
การมีฟันซ้อน นอกจากจะส่งผลต่อสภาพจิตใจในเรื่องของความมั่นใจแล้ว ยังส่งผลต่อสุขภาพภายในช่องปากอีกด้วย ซึ่งปัญหาที่พบได้บ่อยจากการมีฟันซ้อน ได้แก่
- ดูแลความสะอาดยาก โดยเฉพาะตามซอกฟันซึ่งจะมีเศษอาหารเข้าไปติดได้ง่ายกว่าปกติ จึงทำให้เสี่ยงต่อการเกิดฟันผุได้
- กัดหรือเคี้ยวอาหารได้ยาก เพราะฟันไม่ได้เรียงตัวกันตามแนวที่ควรจะเป็น
- ปวดหัวหรือปวดกราม จากการที่ฟันซ้อนกันและเกิดการเบียดตัวกัน
- ออกเสียงคำบางคำได้ไม่ชัด
- สูญเสียความมั่นใจในขณะที่พูดหรือยิ้ม
วิธีแก้ไขปัญหา การเกิดฟันซ้อน
การแก้ไขปัญหาการเกิดฟันซ้อน สามารถทำได้หลายวิธี ทั้งนี้ขึ้นอยู่กับความรุนแรงในแต่ละบุคคล และการวินิจฉัยของทันตแพทย์ โดยวิธีที่ใช้ มีดังนี้
การจัดฟัน
การจัดฟันทั้งแบบเหล็กและแบบใส เป็นวิธีที่นิยมใช้มากที่สุด เพราะมีราคาที่ไม่แพงมากจนเกินไปและมีขั้นตอนที่ไม่ซับซ้อน สามารถทำได้ในทุกช่วงวัย แต่มักใช้กับคนที่ยังเป็นเด็กหรือวัยรุ่น เพราะร่างกายยังมีการเจริญเติบโต จึงสามารถขยับตำแหน่งของฟันได้ง่ายกว่าในวัยผู้ใหญ่ โดยจะใช้ระยะเวลาในการจัดฟันที่ประมาณ 1 – 3 ปี ทั้งนี้ขึ้นอยู่กับสภาพฟันของแต่ละบุคคล
การทำวีเนียร์
การทำวีเนียร์ คือการจัดแต่งฟันโดยวิธีเคลือบผิวฟัน เพื่อให้ฟันมีรูปร่างที่สวยงาม แต่จะไม่สามารถปรับเปลี่ยนตำแหน่งของฟันได้ วิธีนี้จึงสามารถใช้ได้กับคนที่มีปัญหาฟันซ้อนเพียงเล็กน้อยเท่านั้น
การตกแต่งฟัน
การตกแต่งฟัน คือการแก้ไขปัญหาฟันซ้อนด้วยการใช้เลเซอร์ในการเพิ่มช่องว่างระหว่างฟัน นิยมใช้กับผู้ที่มีปัญหาฟันบนและฟันล่างซ้อนกันเพียงเล็กน้อย ซึ่งเป็นวิธีที่ต้องมีความละเอียดอ่อนในการทำ เพราะอาจทำให้ฟันเกิดความอ่อนแอลงได้
การถอนฟันร่วมกับการผ่าตัด
สำหรับคนที่การรักษาด้วยการจัดฟันหรือวิธีการแก้ไขอื่น ๆ ไม่สามารถแก้ปัญหาฟันซ้อนได้หมด ทันตแพทย์อาจวินิจฉัยให้ผ่าตัดขากรรไกรร่วมด้วย เพื่อให้โครงสร้างภายในปากสมดุลมากขึ้น และทำให้ฟันมีพื้นที่ในการเคลื่อนตัวไปสู่ตำแหน่งที่ถูกต้องได้
คำถามที่พบบ่อยเกี่ยวกับฟันซ้อน
หลาย ๆ คนเกิดคำถามที่สงสัยเกี่ยวกับฟันซ้อน ซึ่งคำถามที่สามารถพบได้บ่อย มีดังนี้
ฟันซ้อน จำเป็นต้องถอนฟันไหม
ฟันซ้อน ไม่จำเป็นต้องถอนฟัน แต่ทั้งนี้จะขึ้นอยู่กับสภาพฟันของแต่ละบุคคลว่ามีความรุนแรงมากน้อยแค่ไหน และขึ้นอยู่กับดุลพินิจของทันตแพทย์ร่วมด้วย
ฟันซ้อน จำเป็นต้องจัดฟันไหม
สำหรับคนที่มีฟันซ้อนเพียงเล็กน้อย ไม่รุนแรงมากจนเกินไป อาจไม่จำเป็นต้องจัดฟันก็ได้ แต่ยังคงจำเป็นจะต้องดูแลความสะอาดภายในช่องปากอย่างละเอียดกว่าคนที่มีฟันเรียงตัวสวยงาม ทั้งนี้ขึ้นอยู่กับการวินิจฉัยของทันตแพทย์ร่วมด้วย แต่ในระยะยาวแล้ว การจัดฟันเพื่อให้ฟันเรียงตัวสวยงามจะส่งผลดีต่อสุขภาพภายในช่องปากมากกว่า เพราะจะทำให้เศษอาหารไม่ติดตามซอกฟัน และสามารถทำความสะอาดได้ง่าย
สรุป
ปัญหาฟันซ้อน ในบางคนที่มีอาการเพียงเล็กน้อยอาจไม่ใช่เรื่องใหญ่ที่จำเป็นจะต้องได้รับการจัดฟันในทันที แต่สำหรับคนที่มีสภาพฟันซ้อนค่อนข้างมาก การเข้ารับการรักษาแต่เนิ่น ๆ จะส่งผลดีในระยะยาวมากกว่า เพราะจะทำให้ทำความสะอาดฟันได้ง่าย และเลี่ยงไม่ให้เกิดปัญหาแทรกซ้อนภายในช่องปากตามมาในภายหลัง เช่น ฟันผุ เหงือกอักเสบ หรือฟันล้ม เป็นต้น
สำหรับคนที่สนใจปรึกษาฟันเกกับทันตแพทย์ สามารถติดต่อ Smile Seasons Clinic ได้ที่ LINE @smileseasons.dc หรือโทร 02-114-3274
- Crooked Teeth: Causes, Concerns, and How to Straighten., Available from: https://www.healthline.com/health/dental-and-oral-health/crooked-teeth
- What Causes Crooked Teeth?., Available from: https://www.colgate.com/en-us/oral-health/adult-orthodontics/what-causes-crooked-teeth
- Crooked Teeth and Misaligned Bites., Available from: https://www.webmd.com/oral-health/crooked-teeth-misaligned-bites
- The Most Common Types of Crooked Teeth., Available from: https://www.byte.com/community/resources/article/crooked-teeth-types//
บทความโดย
ทพ.กันเขต เกียรติวราวุธ
ปริญญาโท สาขาทันตกรรมจัดฟัน ม.วลัยลักษณ์
ทันตแพทยศาสตร์ ม.เชียงใหม่ (เกียรตินิยมอันดับ 1 เหรียญทอง)
รีวิวจากคนไข้ของเรา
บทความอื่น ๆ ที่เกี่ยวข้อง

จัดฟันคืออะไร มีกี่แบบ รวมข้อมูลการดัดฟันที่ต้องรู้
ดูแลโดยทีมคุณหมอที่มีประสบการณ์เปลี่ยนแปลงรอยยิ้มให้กับคนไข้หลายพันคน – โปรโมชั่นมีทั้งจัดฟันครั้งแรก กับรอบสอง ก้าวแรกแห่งรอยยิ้มที่สวยงามเริ่มต้นที่นี่คลิกเลย

แผ่นแปะฟันขาวดีจริงไหม? ข้อควรรู้ทั้งหมดก่อนตัดสินใจซื้อ
อยากซื้อแผ่นแปะฟันขาวมาใช้ แต่กังวลว่าจะ work ไหม? ถ้าเทียบกับฟอกสีฟันในคลินิกแบบไหนดีกว่ากัน สรุปข้อมูลพร้อมราคา ผลลัพธ์ และความปลอดภัย

ฟอกสีฟันแบบไหนดี? เลือกชนิดฟอกสีฟันให้ตรงกับไลฟ์สไตล์ของคุณ
เลือกวิธีฟอกสีฟันที่ใช่สำหรับคุณ! ฟอกสีฟันแบบไหนดี? เปรียบเทียบข้อดี-ข้อเสียระหว่างการฟอกสีฟันที่คลินิก และชุดฟอกสีฟันที่บ้าน เพื่อผลลัพธ์ที่ดีที่สุด

ฟอกสีฟันที่บ้านดีไหม? กี่วันฟันถึงขาว ได้ผลจริงไหม ทำที่ไหนดี
อยากฟอกสีฟันที่บ้าน? อ่านเลย! เปรียบเทียบข้อดี-ข้อเสียกับการฟอกสีฟันที่คลินิก ขั้นตอนการทำ ราคา และกี่วันถึงจะเห็นผลลัพธ์ที่ชัดเจน




